video laryngoscopy

+918048053969

WAHANEENTCLINICNAGPUR https://www.entclinicnagpur.com
Preview

This is your website preview.

Currently it only shows your basic business info. Start adding relevant business details such as description, images and products or services to gain your customers attention by using Boost 360 android app / iOS App / web portal.

918412913676
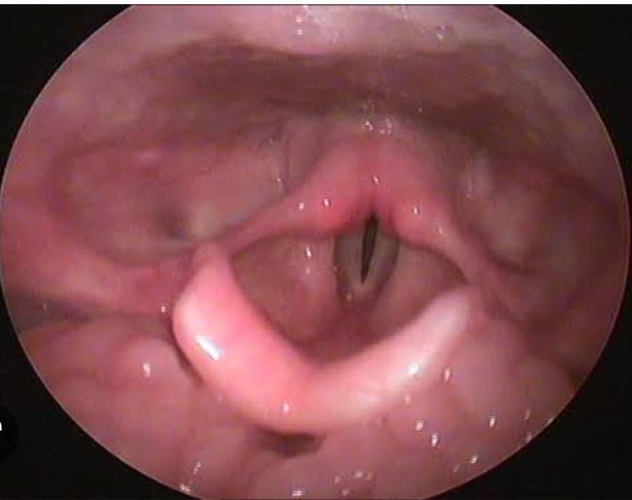
OPD Procedure

Video Laryngoscopy

Dr.Wahane Nursing Home, Plot No.29 Lashkari Bagh Rd,Bhosalewadi,Opposite Wood Wool Factory, Near Awde Babu Chowk Nagpur, Maharashtra, India
2023-04-14T07:13:35

Description

It is a diagnostic procedure performed on OPD basis for diagnosing various diseases of larynx

services